내과 클리닉
전신 초음파 검사
홈 > 내과 클리닉 > 성인 예방 접종
홈 > 내과 클리닉 > 전신 초음파 검사
복부 초음파란?
복부에 초음파를 발사하여 간, 담낭, 췌장, 비장, 신장 등의 장기 상태를 실시간으로 확인하는 비침습적 검사입니다.간경변, 간암, 담석증, 췌장염, 신장질환 등 다양한 복부 질환을 조기에 발견할 수 있습니다.
검사 대상
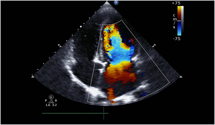
심장 초음파란?
심장에 초음파를 발사하여 심장의 구조, 크기, 기능을 실시간으로 평가하는 검사입니다. 통증이나 위험 없이 심장 내부를 직접 관찰할 수 있어, 판막질환, 심근병증, 협심증, 심근경색 등 다양한 심장질환을 진단할 수 있습니다.
진단 범위
경동맥 초음파란?
뇌로 혈액을 공급하는 경동맥의 혈류 속도, 협착 정도, 혈전 유무를 확인하는 검사입니다.
동맥경화 진행 정도를 평가하여 뇌졸중, 중풍 등의 위험을 조기에 발견할 수 있으며, 금식이 필요 없고 통증이 없어 간편하게 시행할 수 있습니다.
갑상선 초음파란?
갑상선의 모양, 크기, 결절 유무를 확인하는 검사입니다.갑상선에 혹이 만져지는 경우 크기, 범위, 양성/악성 여부를 정확히 진단할 수있으며, 갑상선암 조기 발견에 매우 유용합니다.
전립선/방광 초음파란?
방광과 전립선의 크기, 구조, 병변을 확인하는 검사입니다. 전립선 비대증, 전립선염, 전립선암, 방광암 등을 조기에 발견하고 감별 진단할 수 있습니다.
전립선 암 이미지
복부에 초음파를 발사하여 간, 담낭, 췌장, 비장, 신장 등의 장기 상태를 실시간으로 확인하는 비침습적 검사입니다. 간경변, 간암, 담석증, 췌장염, 신장질환 등 다양한 복부 질환을조기에 발견할 수 있습니다.
뇌로 혈액을 공급하는 경동맥의 혈류 속도, 협착 정도, 혈전 유무를 확인하는 검사입니다.동맥경화 진행 정도를 평가하여 뇌졸중, 중풍 등의 위험을 조기에 발견할 수 있으며,.금식이 필요 없고 통증이 없어 간편하게 시행할 수 있습니다.
갑상선의 모양, 크기, 결절 유무를 확인하는 검사입니다.갑상선에 혹이 만져지는 경우 크기, 범위, 양성/악성 여부를 정확히 진단할 수 있으며,갑상선암 조기 발견에 매우 유용합니다.
성인 예방 접종
방광과 전립선의 크기, 구조, 병변을 확인하는 검사입니다.전립선 비대증, 전립선염, 전립선암, 방광암 등을 조기에 발견하고 감별 진단할 수 있습니다.
스마트연세숨내과의원대표자명: 이상철 | 사업자등록번호: 872-93-01880주소: 경기도 광명시 오리로 976 모범빌딩 3층 스마트연세숨내과의원 | 이메일: contact@yonseisum.com전화번호: 02-6949-4880 | 팩스번호: 02-6949-4890
Designed by.NEWSIGHT
02-6949-4880
정상적으로 접수되었습니다
스마트연세숨내과의원 | 대표자명: 이상철 | 사업자등록번호: 872-93-01880 주소: 경기도 광명시 오리로 976 모범빌딩 3층 스마트연세숨내과의원 이메일: contact@yonseisum.com | 전화번호: 02-6949-4880 | 팩스번호: 02-6949-4890